2022.09.12 18:38
广信区人民医院副院长黄朝发突然接到一个电话——石人乡卫生院余院长来电,该院急诊患者魏某某突发持续性胸痛1小时,已给予硝酸甘油0.5mg含服,症状无缓解,黄朝发立即查看患者心电图,心电图提示de Winter综合征可能性大,双方随即启动对接,由石人乡卫生院转送,广信区人民医院院前急救前往对接,并同时一键启动院内绿色通道。
院前急救医师诸言奎医师将患者信息及时发至胸痛院内会诊群,告知患者目前生命体征情况,抗血小板负荷量已给、已建立静脉通道、家属积极同意急诊介入手术。同时胸痛中心相关科室人员已全部待命。
到达医院,行双绕直接到达导管室,开辟绿色通道——零押金建档办理住院手续、完善术前检查、签署术前知情同意书、送入导管室。
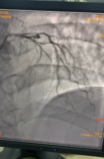
造影提示:前降支闭塞
20:27
冠脉球囊快速通过、血流恢复,患者胸痛症状好转。
D to W 仅 34分钟!(国家胸痛中心总部要求急性心梗患者从到达医院门口(door)到导丝通过(wire)时间应少于90分钟).术后复查心电图患者前壁ST段明显回落。

21:10
病人顺利植入支架,返回心内科抢救室监护治疗。
打赢这场惊心动魄的‘硬仗’,得益于胸痛中心的高效运转!首先,我院胸痛中心建设步入正轨,急诊PCI的开展为广大急性心肌梗死患者挽救了生命,广信区胸痛救治单元逐步通过验收,也得到越来越多的基层医师和老百姓的信任;其次院前急救人员敬业精神和业务能力不断提升,将救治措施提前到患者家中、基层医疗机构,救护车上……最后院内的胸痛中心团队从院前急救、急诊科到影像科,再到导管室、冠脉介入医师24小时待命,真正做到了“无缝衔接”!
广信区人民医院胸痛中心时刻为您的心脏保驾护航!
知识分享
de winter综合征相关的心电图特点为:①胸前V1-6导联J点压低1-3mm,ST段呈上斜型下移,随后T波对称高尖;②QRS波通常不宽或轻度增宽;③部分患者胸前导联R波上升不良;④多数患者aVR导联ST段轻度上抬。
急诊冠脉造影均未发现明显左主干病变,约2/3患者为前降支单支病变。犯罪病变均在前降支近段,86%患者术前LAD血流为TIMI 0-1级,急诊PCI术后该ECG现象消失。与ST段抬高型急性前壁心梗患者相比,有此ECG表现的患者更年轻、多为男性及患有高胆固醇血症。由于临床医师对此ECG往往认识不足,导致诊治时间延误。
该患者的心电图符合典型de Winter心电图表现。



小结:
1.de Winter综合征可能是STEMI的早期改变,也可能是一种特殊类型的ACS心电图表现。
2.de Winter综合征或de WinterST-T改变不能归为非ST段抬高型ACS,但应视为STEMI等危急心电图。
3.de Winter综合征或de Winter ST-T改变心电图必须按照STEMI进行处理,急诊介入治疗二者均适用,溶栓治疗现阶段没有适应症。
4.在介入治疗遍地开花的阶段,急诊PCI并非de Winter综合征治疗的瓶颈,其诊治关键在于重在早期识别:在没有心动过速的情况下,胸痛患者若出现ST段上斜型压低伴T波高尖,应警惕de Winter综合征可能,并及时开通冠脉介入治疗绿色通道。
(编辑:李鹏飞 审稿:张榕华、黄朝发 终审:王陈达)